Dados clínicos: Paciente masculino, 13 anos, com tumoração suspeita de meningioma.
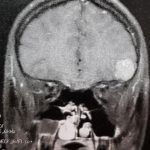
Ressonância magnética: Formação neoplásica expansiva de difícil caratcerização ( intra ou extra-axial ?) em fossa craniana anterior com realce intenso após injeção de contraste com espessamento e realce de planos paquimeningeais adjacentes, medindo 2,4cm
Achado cirúrgico: O neurocirurgião relata achados de infiltração cerebral.
Diagnóstico: Neoplasia Melanocitica Meningeal De Grau Intermediário
Comentário: O diagnóstico desta família de neoplasias depende do reconhecimento da diferenciação melanocitica nas células tumorais. As neoplasias melanocíticas primárias do SNC representam tumores difusos ou localizados que, presumivelmente, surgem de melanócitos leptomeníngeos. Lesões benignas que são difusas sem formar massas macroscópicas são denominadas melanocitose, enquanto lesões malignas difusas ou multifocais são denominadas melanomatose. As lesões tumorais benignas e de grau intermediário são denominadas melanocitomas, enquanto as lesões tumorais malignas são melanomas.
Os melanocitomas são tumores solitários de baixo grau, sem invasão das estruturas circundantes. As células tumorais podem ser alongadas ou ovais, com ocasionais fendas nucleares, nucléolos pequenos eosinofilicos e variável pigmentação melânica intracitoplasmática. Em casos com pouca pigmentação melânica a imunomarcação com marcadores melanocíticos é útil para caracterização da diferenciação melanocítica. Estas células frequentemente formam ninhos semelhantes aos vistos no meningioma, podendo também exibir arranjos estoriformes, angiocêntricos e em lençóis. Atipia citológica e mitoses estão geralmente ausentes (em média, <1 mitose por 10 CGA). Tem sido sugerido que os tumores melanocíticos com características citológicas brandas, como os do melanocitoma, mas que apresentem invasão do SNC (Como no presente caso) ou atividade mitótica elevada, devem ser classificados como neoplasias melanocíticas de grau intermediário.
Devido ao pequeno número de casos relatados não há dados confiáveis para prever a biologia desses tumores (WHO -2016).
Autoria do caso: Gerônimo Jr.







