DIAGNÓSTICO: CARCINOMA DE CÉLULAS RENAIS SÓLIDO E CÍSTICO EOSINOFÍLICO
Comentário: Este carcinoma é um emergente subtipo de carcinoma renal que se apresenta frequentemente de forma esporádica, entretanto cerca de 10% ou menos desses tumores foram documentados em pacientes com complexo de esclerose tuberosa. Eles são tipicamente unifocais, solitários, de tamanho pequeno e baixo estágio (principalmente pT1, raramente pT2 ou pT3) com a maioria dos pacientes do sexo feminino. Embora a grande maioria destes tumores exibam comportamento indolente, pelo menos quatro casos foram relatados até agora com metástases, o que justifica a designação de Carcinoma de células renais para esta entidade e reitera a necessidade de vigilância clínica contínua para esses pacientes.
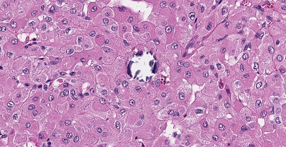
Macroscopicamente são tumores circunscritos, mas sem uma cápsula bem formada na periferia. O revestimento epitelial dos cistos tem aspecto em hobnail e as trabéculas do cisto podem variar em espessura. As células nas áreas sólidas do tumor é semelhante às vistas nas trabéculas entre os cistos, mostrando crescimento difuso, acinar compacto ou compacto em ninhos. Agregados dispersos de histiócitos espumosos e linfócitos são frequentemente encontrados. As células normalmente mostram citoplasma eosinofílico volumoso, com grânulos citoplasmáticos grosseiros, basofílicos a púrpura prontamente identificáveis , que representa uma característica morfológica muito útil; esses grânulos correspondem a agr egados de retículo endoplasmático rugoso, observados na microscopia eletrônica. Os núcleos são redondos a ovais com nucléolos focalmente proeminentes, equivalente ao WHO / ISUP grau 2 ou 3. Outras características menos comuns ou menos específicas também podem estar presentes, incluindo crescimento papilar focal, áreas focais de “células claras”, bem como crescimento insular ou tubular focal e aglomerados de células multinucleadas. A vacuolização intracitoplasmática, microvesicular ou macrovesicular, também é comum e corpos de psamoma podem ser encontrados em cerca de metade dos casos. A imuno-histoquimica desses tumores mostra alguma variabilidade, embora citoqueratina 20, PAX 8 e vimentina sejam geralmente positivos, CD10, racemase e antígeno de membrana epitelial podem ser ambíguos, enquanto citoqueratina 7 e CD117 são geralmente ne gativos.
Crédito: PathPresenter
Referência: Delahunt, B., Eble, J.N., Egevad, L. et al. Emerging entities of renal cell neoplasia. Surg Exp Pathol 2, 10 (2019). https://doi.org/10.1186/s42047-019-0035-x
Gerônimo Jr.
Pathologist
Lapac laboratory
Teresina – Brazil




